2 Sept 2019
Tereza Bodnárová presents the case of Tessa, a 13-year-old female entire border collie with a history of urinary incontinence.

Tessa, a 13-year-old female entire border collie, was booked for a 10-minute appointment with a four-week history of urinary incontinence.
Physical examination revealed a swollen vulva without discharge, with the rest of the examination unremarkable. Blood tests showed hyperglycaemia (28.5mmol/L; reference range [RR] 3.95mmol/L to 7.98mmol/L), elevated alkaline phosphatase (390U/L; RR 0.01U/L to 160U/L), alanine aminotransferase (137U/L; RR 0.01U/L to 110U/L) and ketonaemia.
Glucosuria and ketonuria were also detected, but urine culture was negative. Urine sediment examination revealed no inflammatory cells or bacteria. Due to limited funds and an otherwise healthy patient, no further investigation was performed.
Treatment of diabetes mellitus (DM) with ketosis was started. Tessa was hospitalised for blood glucose (BG) monitoring and initial insulin therapy (0.5IU/kg SC twice daily). Ovariohysterectomy was advised after stabilisation.
Due to reduced appetite during hospitalisation, signs of dehydration and persistent hyperglycaemia, IV fluid therapy was started. Despite improved hydration status and appetite, hyperglycaemia persisted and the BG concentration was constantly greater than 26mmol/L.
How would you further investigate this case?
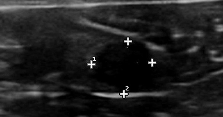
Due to the poor glycaemic control, further investigation was suggested. Thoracic radiographs and abdominal ultrasound were performed to rule out neoplastic or inflammatory processes.
The only detected abnormalities were anechoic cysts in both ovaries. The biggest cyst was about 2cm in diameter. The pancreas and adrenal glands were within normal limits, and basal cortisol within reference range. Thyroid function was not assessed due to limited budget and absence of clinical signs. Ovariohysterectomy was performed, despite the uncontrolled DM.
Newly diagnosed entire female dogs should be spayed ideally within three days of starting insulin therapy. The main reason is to reduce the effect of progesterone, which triggers secretion of growth hormone from the mammary gland. Both progesterone and growth hormone antagonise the effects of insulin.
The second reason is a possible presence of still functional pancreatic beta cells, although in canine patients this is rarely the case.
Aglepristone has been reported to be used as a medical alternative to ovariohysterectomy. Side effects can include anorexia, vomiting, diarrhoea and mammary gland congestion, although, according to NOAH data sheets, use of antiprogestogens is contraindicated in animals with DM.
Tessa was discharged from hospital one day post-surgery and prescribed insulin 0.6IU/kg SC twice daily. During first re-examination (three days post-operation), she was back to herself – eating and drinking normally – and she was no longer ketonemic.
Her BG concentration before insulin injection was 30mmol/L, but, despite her high BG, the dose of insulin wasn’t changed – as the duration of its action is typically around 10 hours (range 8 to 14 hours), hyperglycaemia 12 hours post-insulin injection is relatively common.
One week later, Tessa was presented with signs of hypoglycaemia. Because her BG concentration on arrival was 3mmol/L, she was readmitted for another glucose curve and closer monitoring. She was still insulin-dependent at this time, but her insulin dose was gradually reduced to 0.25IU/kg twice daily. Monitoring of glycosuria at home was advised to identify an absence of glycosuria suggestive of normoglycaemia or hypoglycaemia.
In well-controlled cases of DM, glycosuria often persists. Absence of this is a sign of insulin overdosing or the patient’s remission.
Three weeks post-surgery, Tessa reached complete remission and was DM free one year later.
Ovariohysterectomy is an important part of the treatment of DM in entire female dogs. Surgery should, ideally, be performed within a few days of starting insulin therapy.
The author would like to thank Aneta Kasanova, DVM, and Klaudia Bugyiova, DVM, for their help with this article.