5 Oct 2022
Erosive polyarthritis – diagnosis and treatment on a budget
Ross Allan BVMS, PGCertSAS, MRCVS presents the case of Fergie, an eight-year-old 5kg Jack Russell that presented with a history of weight loss and bilateral hindlimb lameness.

Fergie – an eight-year-old, 5kg, female, neutered, fully vaccinated Jack Russell terrier – presented with a four-month history of weight loss and bilateral hindlimb lameness. While initially mild, the lameness had progressed to a reluctance to walk and Fergie was referred following a poor response to treatment with oral meloxicam.
No history of previous injuries existed and on assessment she was bright and alert, but struggled to stand up and walk. When called over by the owner she would “scoot” along the floor wagging her tail, prior to standing up – an unusual presentation.
Physical examination appeared normal apart from the presence of bilateral grade three medial patella luxation with concurrent cranial drawer. A mild effusion and crepitus of the stifles was apparent with mild discomfort being present on flexion. Fergie was normothermic and neurological examination was unremarkable.
X-rays and further physical examination was performed under sedation.
Question
What changes do you notice in the right and left lateral radiographs (Figure 1), and how would you
Answer
Radiographs show bilaterally symmetrical changes in the stifles, with lytic erosion of the retropatellar and trochlear subchondral bone, as well as a significant effusion. This contrasts with both tibial plateaus, which on the mediolateral view show no subchondral bone erosion.
Fergie’s “working diagnosis” was of erosive immune-mediated polyarthritis (IMPA). Arthrocentesis of the stifles retrieved a low volume of fluid (0.5ml), which was mildly blood stained, slightly cloudy and amber coloured, with moderate viscosity. Unfortunately, the low volume was insufficient to allow a differential cell count, but joint fluid
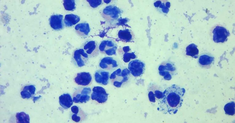
Cytology of the joint fluid described moderate cellularity with poorly preserved neutrophils admixed with occasional mononuclear cells compatible with macrophages and/or synoviocytes. No infectious agents were seen and the changes were consistent with a mild suppurative arthritis (Figure 2). Haematology and urinalysis taken at this time were unremarkable.
Further x-rays taken confirmed the presence of subchondral erosive lesions also being present within the carpal and tarsal joints, which, in conjunction with the arthrocentesis results, confirmed idiopathic erosive IMPA.
Treatment consisted of immunosuppressive doses of prednisolone and azathioprine. Doses of both were gradually reduced over an 8-week period after an initial 10 days of therapy.
The gastroprotectant omeprazole was also prescribed for this initial period, before being withdrawn. After 8 weeks, medical treatment consisted of 0.4mg/kg prednisolone once daily.
The response to therapy was rapid, with Fergie quickly becoming more mobile, as well as having a brighter demeanour – this being something the owners had not noted as being especially decreased pre-diagnosis.
Follow-up arthrocentesis, biochemistry and haematology sampling were strongly advised – particularly due to the risk of medical side effects from the medications prescribed and to allow assessment of the joint fluid changes in response to therapy, unfortunately these were declined due to costs.
Summary
IMPA itself is common, but erosive IMPA is rare. While some authors sub-categorise erosive polyarthritis, the clinical necessity of this subcategorisation is questionable. Erosive IMPA more commonly affects smaller dogs than large dogs, suggesting genetic factors may contribute to development of disease.
Further tests such as thoracic and abdominal x-rays, abdominal ultrasound, biochemistry and synovial biopsy could all have been clinically justified, but unfortunately were not possible in this case due to financial limitations.
The improvement in Fergie’s comfort and movement meant no surgical intervention was felt necessary. This decision was kept under review and should mobility have deteriorated – likely due to joint instability – then this could be surgically addressed after first performing arthrocentesis to ensure the erosive IMPA was effectively controlled.
Some medications used to treat this patient were prescribed following the veterinary prescribing cascade and informed consent.

