18 May 2017
Karen Perry looks at existing and future treatment options regarding degenerative joint disease occurring in feline patients.

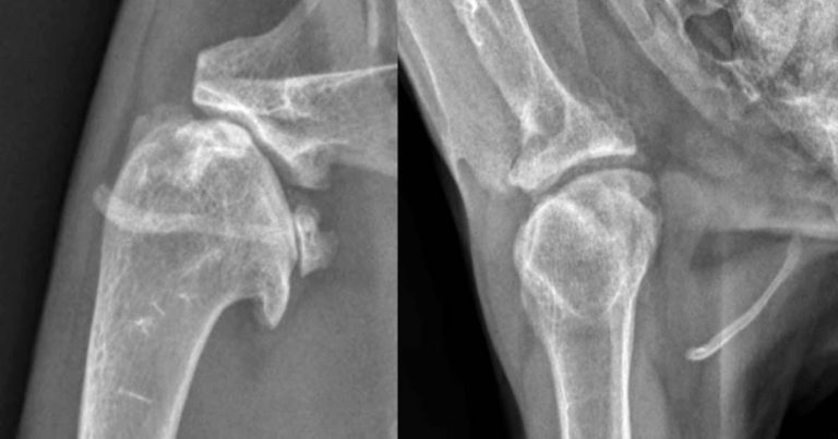
Figure 1. Mediolateral and craniocaudal radiographs of the shoulder of a 10-year-old cat presenting with moderate thoracic limb lameness associated with severe shoulder degenerative joint disease.
Degenerative joint disease (DJD) is a common problem affecting domestic cats, often causing pain and impaired mobility. Several challenges are associated with the recognition, monitoring and treatment of feline DJD, and several questions regarding this complex condition remain unanswered. Many practical ways to monitor the effectiveness of treatment in practice exist, including observation of behaviour, owner-completed questionnaires, goniometry, morphometric measurement of limb circumference and lameness scoring. Alternative monitoring methods may be more appropriate for referral facilities, including pressure mats, thermographic imaging and activity monitors.
Treatment plans for DJD in cats are multifaceted, often including environmental and activity modulation, physical rehabilitation, dietary modulation, weight management and drug therapy. While NSAIDs remain the mainstay of DJD management in cats, evidence has indicated central sensitisation plays a role in DJD-associated pain in this species and, therefore, multimodal analgesia is often indicated. While most cats with DJD-associated pain can be managed using a combination of the aforementioned non-surgical therapies, for those where a satisfactory response is not achieved, surgical treatment should be considered. While treatment options are limited in comparison to those in our canine patients, judicious and considered treatment can be expected to have positive results in the majority of cases.
Degenerative joint disease (DJD) is becoming well recognised as a common and significant problem affecting domestic cats (Figure 1).

The prevalence of DJD in cats – affecting both the appendicular and axial skeleton – is high, reaching up to 91% in some studies in the veterinary literature (Hardie et al, 2002; Clarke et al, 2005; Godfrey, 2005; Lascelles et al, 2010a; Slingerland et al, 2011). A large proportion of these cases have associated chronic pain, manifested as alterations in mobility and activity (Gruen et al, 2016).
Most cases of feline DJD appear to be primary, occurring without an apparent inciting factor (Hardie et al, 2002; Clarke et al, 2005; Godfrey, 2005; Bennett, 2010; Lascelles, 2010; Lascelles et al, 2010a) and most studies agree both the prevalence and severity of DJD increase with advancing age (Clarke et al, 2005; Godfrey, 2005; Clarke and Bennett, 2006; Lascelles et al, 2010a; Slingerland et al, 2011).
Given this, and the feline population is an ageing one (Gunn-Moore, 2006), it is critically important, as vets, we are able to recognise and treat DJD-associated pain adequately. That said, recognition and treatment of DJD-associated pain in cats represents a substantial challenge in many cases. While DJD is very common, the diagnosis is often missed (Clarke et al, 2005; Lascelles, 2010).
Several factors may contribute to this, including the well-reported challenges associated with orthopaedic examination in cats, the mismatch between orthopaedic examination findings and DJD severity, the paucity of validated chronic pain assessment tools in cats, and the unknown sensitivity of radiographs for detection of DJD in this species (Clarke and Bennett, 2006; Lascelles et al, 2010a,b; Lascelles et al, 2012).
Unfortunately, these same challenges have led to a distinct deficiency in approved medications for the treatment of DJD-associated pain in cats (Lascelles and Robertson, 2010; Bennett et al, 2012), which complicates management of this condition.
This article will concentrate on treatment of this challenging problem with two major foci – what treatment options are available and how we know if our therapeutics are effective.
Although often overlooked, monitoring is a critical component of managing DJD-associated pain. Treatment plans need to be tailored to the individual cat and only by monitoring can a clinician be aware of what is working and when changes need to be made. Additionally, many treatments used in managing DJD-associated pain can be associated with adverse effects.
If a drug is effective in relieving DJD-associated discomfort then this risk is likely conscionable. However, if a given medication is not having any measurable beneficial effect, this risk (albeit small) becomes difficult to justify and the medication should be withdrawn. Only by monitoring our patients closely can we make these informed decisions. Not only does monitoring assist the clinician with decision-making, it can also help in keeping owners motivated, thereby maximising their compliance during management of this chronic, and often frustrating, condition.
Monitoring may include a range of subjective and objective measurements. Observation of behaviour is a non-invasive and potentially effective way by which pain can be monitored by different people, in different contexts (at home or in the clinic) with none of the risks (for either the cat or the observer) implicit from closer interactions (Merola and Mills, 2016).
While the behavioural signs associated with DJD can be subtle and easily missed, with appropriate education and awareness, both owners and vets are able to recognise many relevant changes in cats related to pain (Benito et al, 2013).
Client education is important in this regard, as owners may not always recognise the clinical relevance of their observations, viewing them as part of the natural ageing change of the animal, rather than an indication of pain.
A study compiled a list of 18 behaviours considered by expert consensus to be indicative of pain in cats. These behaviours were deemed to be frequently present both in low and high-level pain situations (Merola and Mills, 2016). Although this was not specific for DJD-associated – or even musculoskeletal – pain, this list may form a useful starting point for owner education.
The behaviours described in that study included lameness, difficulty jumping, abnormal gait, reluctance to move, reaction to palpation, withdrawing or hiding more, absence of grooming, playing less, decreased appetite, decreased activity, less rubbing against people, changes in general mood and temperament, sitting with a hunched up posture, weight shifting, licking a particular body region, lower head posture and blepharospasm (Merola and Mills, 2016).
When evaluating the efficacy of a pain-relieving medication, owner-completed questionnaires can be useful. The questionnaires employed may be general, as in the feline musculoskeletal pain index (FMPI; Benito et al, 2013), inquiring about activities common to most cats. Alternatively, they can be individualised, such as with the client-specific outcome measures (CSOM) assessment (Benito et al 2013).
The FMPI is a subjective, owner-completed instrument developed to assess chronic feline DJD-associated pain (Benito et al, 2013). The available version of it is comprised of 17 questions with a maximum score of 68 and asks questions regarding the cat’s ability to complete various activities compared to a normal adult cat without mobility impairment.
The FMPI has been proven to be reliable and repeatable in both normal cats and those suffering from DJD, and is also able to distinguish between normal cats and those with DJD (Benito et al, 2013). This questionnaire has been used to compare FMPI scores in a population of cats suffering from DJD-associated pain and the median score in normal cats was 0% in comparison to 35% in cats with DJD-associated pain (Benito et al, 2013).
With a CSOM assessment, in contrast, the owners select a number of activities to identify their cat as impaired. They then rate how much difficulty their cat has with each activity from 0 to 4 (0 = impossible and 4 = no problem) and the score is summed. Changes in the scores from either, or both, methods over time can be used to assess response to various treatment modalities.
In previous studies, an 11.8% change in total score for FMPI and a 16.7% change in score for CSOM assessments have been considered to be clinically relevant (Gruen et al, 2014). It has been shown, due to profound placebo-effects that complicate demonstration of significant effects during a treatment period, these methods may be more likely to detect recurrence of clinical signs after withdrawal of an active medication (Gruen et al, 2014).
As clinicians, we frequently trial a period of medication withdrawal, even if this is while we switch from one drug to another, and the use of the owner-completed questionnaires may be useful in identifying deteriorations in the clinical condition during this time.
Other methods of monitoring that are easily achievable in a primary care environment include goniometric assessment of range of motion, measurement of limb circumference to assess muscle mass and lameness scoring (although the difficulty of gait assessment in cats does have to be appreciated here).
Other monitoring methods may be more appropriate for referral facilities and research use, but include force plate or pressure mat analysis (Stadig et al, 2016). Thermographic imaging has also been shown to correlate moderately well with palpation findings in cats (Vainionpaa et al, 2012) and may have a role to play in detecting and monitoring DJD-associated pain.
Activity monitors and accelerometers can assist with monitoring treatment efficacy (Lascelles et al, 2008; Gruen et al, 2017). Indeed, in the study of therapeutics designed to treat DJD-associated pain in cats, accelerometry serves as the most widely applied objective outcome measure (Gruen et al, 2017).
While this may be seen as a method of monitoring likely to be confined to research facilities, collar-mounted activity monitors are readily available for individual cats. For example, one smart collar appropriate for cats heavier than 3.6kg continuously collects the cat’s vital signs, activity and behaviour patterns, and feeds back to a computer via a special gateway. With the popularity of activity monitors for people, many owners are interested in this option for their pets and it can provide a fantastic method of monitoring treatment efficacy.
Several studies have demonstrated DJD is a frequent cause of pain in older cats (Lascelles et al, 2001; Clarke and Bennett, 2006; Lascelles et al, 2007a; Gunew et al, 2008) and clinical signs can be significantly improved following treatment.
Multimodal therapy is integral to achieving success in ameliorating the discomfort associated with DJD in cats. An efficacious treatment plan is likely to include aspects of some or all of the following:
Most cases of feline DJD-associated pain are manageable by non-surgical means, but surgical options also exist for those cases that fail to respond satisfactorily.
As aforementioned, DJD-associated pain in cats often results in substantial departures from normal behaviour. Modifying the cat’s environment – allowing it to resume as many of its normal activities as possible – is likely to improve not only its physical, but also psychological, well-being (Robertson and Lascelles, 2010; Lascelles and Robertson, 2010).
Access to heights is generally accepted to be important for cats (Lascelles and Robertson, 2010) and cats with DJD often manifest impaired jumping ability, so one example of appropriate environmental modification would be to provide stepped access to any high areas the cat likes to frequent.
Altering the environment to allow access to various levels and areas will also encourage higher levels of activity, which may assist in maintaining muscle mass and tone (Lascelles and Robertson, 2010). Food and water bowls, hiding places and comfortable beds should all be made as accessible as possible. Low-edged or roomy enclosed litter trays can also be used to reduce any episodes of inappropriate elimination associated with the condition; some cats with DJD-associated pain struggle to climb into high-edged litter trays or find posturing inside the tray difficult.
Active owner interaction with the cat is also encouraged; this will encourage the cat to exercise and also provide appropriate mental stimulation. The aforementioned activity monitors can be useful in maximising owner compliance here. For periods of time when the cat is unattended, cat towers, hiding food around the house and use of catnip may encourage foraging, hunting and play (Bennett et al, 2012).
Physical rehabilitation is in its early phases for feline patients and is yet to be formally evaluated, but it is considered likely the same basic principles and benefits for people and dogs will apply in cats.
Techniques and modalities used in physical rehabilitation are numerous and varied.
Trained physical rehabilitation specialists select, prescribe and implement appropriate modalities based on examination findings, diagnosis and prognosis. Often, a combination of different modalities is used to maximise outcomes and facilitate a return to normal or near-normal function.
Primary techniques fall into three major categories – manual therapy, electrophysical therapy and thermal treatments.
Manual therapies include joint mobilisations and manipulations, massage and stretches. Many of these techniques can be demonstrated to owners to be performed at home and be useful in reducing muscle pain. An added benefit is this will also encourage more interaction between the owner and cat, helping the owner stay invested in treatment by feeling he or she plays an active role in the cat’s recovery.
Electrophysical and thermal treatments include therapeutic laser, ultrasound, neuromuscular electrical stimulation and transcutaneous electrical nerve stimulation. These are all non-painful forms of treatment and cats are generally very tolerant of their use (Sharp, 2012). However, all these modalities should only be used by operators who have received training in their use.
The basic techniques of applying heat (thermotherapy) and cold (cryotherapy) can be readily learned and incorporated into treatment plans by owners. While no definitive evidence is available regarding the efficacy of these modalities in cats, the author frequently uses cold therapy following acute injuries and flare-ups of DJD-associated pain, and also heat therapy prior to passive range of motion exercises.
The author has also used laser therapy to good effect for pain control in cats with DJD-associated discomfort (Figure 2). Active exercise also plays a role in maintaining muscle mass and tone, and joint range of motion; in my experience, water treadmill therapy (Figure 3) is well tolerated in many cats and can be helpful in this regard.
Diets rich in omega-3 fatty acids are recommended for cats with DJD. Similar diets have been shown to improve weight-bearing in dogs with DJD (Roush et al, 2010a,b) and also to allow doses of NSAIDs to be reduced sooner and to a lower level than in dogs on no dietary management (Fritsch et al, 2010).
Studies in cats regarding this are limited, but based on owner assessment – one study demonstrated increased activity levels in cats fed an omega-3 rich diet (Lascelles et al, 2010b), while another demonstrated cats receiving fish oil supplementation had a higher activity level, walked up and down stairs more, showed less stiffness during gait, interacted more with the owner and jumped higher (Corbee et al, 2013).
Contrary to popular opinion, evidence also suggests diets rich in omega-3 may assist with weight loss (Brookes et al, 1998; Madsen et al, 2005; Lascelles et al, 2010b).
Approximately 14% of older cats suffering from DJD are obese (Clarke and Bennett, 2006) and weight loss in these patients is certainly advocated to assist with amelioration of the associated clinical signs. While weight loss in cats represents a challenge, it can be successfully achieved through use of low calorie diets (Bissot et al, 2010).
To lose weight, the cat should be consuming 60% to 70% of the calories required to maintain its ideal weight (Michel and Scherk, 2012). Client compliance is critical for success and the weight loss plan should also incorporate environmental enrichment (as aforementioned) and increased activity. Increased calorie use and an increased metabolic rate, in conjunction with a low calorie diet, will substantially increase the chances of success (Michel and Scherk, 2012).
NSAIDs are the mainstay of drug therapy for DJD in other species and ample evidence supports their effectiveness in cats (Lascelles et al, 2001; Clarke and Bennett, 2006; Lascelles et al, 2007a,b; Bennett and Morton, 2009; Guillot et al, 2013; Monteiro et al, 2016). Four NSAIDs licensed are for use in cats – meloxicam, robenacoxib, ketoprofen and tolfenamic acid.
Meloxicam is the only NSAID licensed for long-term use and the most commonly used NSAID for treatment of DJD-associated pain in cats. Meloxicam has been shown to be very effective at relieving signs of discomfort associated with DJD based on both subjective (Clarke and Bennett, 2006) and objective (Lascelles et al, 2007a; Guillot et al, 2013) outcome measures.
While an initial dose of 0.1mg/kg on day one, followed by dosing at 0.05mg/kg thereafter, is typically recommended, lower doses of 0.025mg/kg daily (Clarke and Bennett, 2006) and 0.01mg/kg (Gunew et al, 2008) have also been shown to be effective. The author generally starts at the higher dose, then gradually titrates the dose down, reducing the dose by 0.005mg/kg every week to find the lowest possible effective dose for the cat concerned. The most common formulation of meloxicam is a liquid, but a new oral transmucosal formulation of meloxicam has been approved by the US Food and Drug Administration for the control of pain and inflammation associated with OA in dogs.
While this is not licensed for use in cats, a study demonstrated the oral transmucosal spray had similar effects on gait analysis, motor activity and pain sensitisation in cats, as have been previously reported for the liquid formulation (Monteiro et al, 2016). Gingival administration of this product was also well tolerated overall. The most common adverse events associated with meloxicam therapy are gastrointestinal effects.
Robenacoxib is an NSAID introduced into canine and feline medicine. Robenacoxib is licensed for use for up to six days for the treatment of pain and inflammation associated with musculoskeletal disorders in cats at a dose of 1mg/kg to 2.4mg/kg.
Robenacoxib is tissue-selective, potentially being preferentially concentrated at sites of inflammation. It has been shown to be useful for alleviation of inflammation and pain in both acute and chronic pain disorders in other species (Giraudel et al, 2009a,b; King et al, 2009), but efficacy studies in cats are ongoing at this time.
Studies have shown robenacoxib is well tolerated when administered for one month in cats with DJD, with no clinical evidence of damage to the gastrointestinal tract, kidney or liver (King et al, 2016).
Contrary to most NSAIDs, where it is advised to administer the medication with food, a study showed to obtain optimal bioavailability, when given orally, robenacoxib should be given after food withholding or with a very small amount of food (King et al, 2013). Robenacoxib comes as a 6mg tablet, which appears to be very palatable to most cats. The tablet form makes titration of the dose more difficult than for meloxicam. However, similarly to in dogs, it appears some cats respond better to one NSAID than another.
In the author‘s experience, some cats that have failed to respond to medication with meloxicam have subsequently responded well to medication with robenacoxib – so, similarly to in dogs, failure to respond to one NSAID should not be interpreted as a failure to respond to NSAIDs in general (although our armoury is significantly more limited for the feline species).
In cases where robenacoxib is used for control of chronic pain associated with DJD, it may be used in a pulse fashion (six days on and one day off), with an additional analgesic being used to provide relief on the days when robenacoxib is not being administered if necessary.
As for meloxicam, the predominant adverse effect reported is gastrointestinal disturbance.
Tolfenamic acid and ketoprofen are licensed for shorter periods of time (three and five days, respectively), but can also be useful for alleviation of acute musculoskeletal pain and may also be used as pulse therapy for chronic pain. Similarly to other NSAIDs, the primary side effects associated with treatment relate to the gastrointestinal tract.
Given DJD frequently affects older cats, routine blood and urine analyses are advisable to assess liver and kidney status before commencing NSAID therapy. Monitoring of blood pressure is also recommended since inhibition of cyclo-oxygenase (COX) within the kidneys can exacerbate hypertension (Khan et al, 1998; Bergh and Budsberg, 2005). Detection of any abnormalities needs not be a complete contraindication for drug use, but may affect the dose chosen, and frequency and type of follow-up. Concomitant chronic kidney disease (CKD) is relatively frequently encountered and often causes concern regarding NSAID use, but studies have demonstrated long-term treatment with meloxicam does not appear to reduce the lifespan of cats with pre-existent stable CKD (Gowan et al, 2011).
Similarly, robenacoxib was also well tolerated in a study in a subset of cats with DJD and concurrent CKD (King et al, 2016). Therefore, in cats where DJD impacts negatively on quality of life, the cautious use of either meloxicam or robenacoxib should continue to be considered, regardless of the presence of CKD.
Multimodal analgesia is commonly used for the feline patient with DJD, but supportive evidence is relatively lacking at this stage. The basis of this approach is to use a combination of drugs that all act at different levels of the pain pathway and thus will have a synergistic effect, hopefully improving pain control and possibly allowing lower doses of individual drugs to be used, hence reducing the risk of side effects.
Multimodal analgesia is often required for cats with DJD-associated pain as central sensitisation, induced by continuous and intense nociceptive input from the arthritic joint(s), is an underlying mechanism of pain in cats with DJD (Guillot et al, 2013) and NSAIDs are generally accepted to be not very effective for treatment of allodynia (Guillot et al, 2013). While many other medications can be used, most are off licence, with amantadine, gabapentin and tramadol probably most commonly added to the treatment plan when treatment with an NSAID alone proves ineffective. Alternative options include amitriptyline and codeine.
Amantadine, an N-Methyl-D-aspartate antagonist, is considered effective at targeting central sensitisation and has been suggested to be efficacious in relieving DJD-associated pain in humans. It is generally dosed between 1mg/kg to 4mg/kg once daily.
As limited information is available regarding toxicity in cats, starting at the lowest dose then increasing slowly as required, based on response, is recommended. In humans, the adverse effects generally include minor CNS and gastrointestinal signs. Generally, in dogs and cats, it appears to be well tolerated, based on the limited information available. Amantadine is available in a liquid formulation, which is often necessary for cats as the capsule sizes are generally too large to allow appropriate dosing in these smaller patients.
Gabapentin can be useful in the treatment of neuropathic pain and appears to be useful in chronic pain states in cats, but limited published evidence exists on this to date.
One case series of three cats, where gabapentin was used for treatment of musculoskeletal pain or head trauma, concluded gabapentin was of potential benefit in these cases and may provide a valuable adjunct for management of chronic pain in cats (Lorenz et al, 2012), but more data with larger numbers of cats is needed.
Gabapentin is normally dosed between 5mg/kg to 10mg/kg two to three times daily and therapy should be withdrawn slowly.
Side effects are rare, but when they do occur, generally involve mild sedation and ataxia, which often resolves with reduction of the dose. One report of a cat that suffered severe skin lesions appeared to be associated with administration of pregabalin – an antiepileptic drug with analgesic properties and a structure similar to gabapentin (Clark et al, 2017). These resolved with drug withdrawal and, therefore, monitoring for skin lesions and withdrawal of the medication in the presence of these may
be advisable.
Tramadol has also been advocated as a drug that may be efficacious in targeting central sensitisation and a study showed it may provide benefit, over meloxicam alone, for central hypersensitivity (Monteiro et al, 2016). It is generally dosed at 2mg/kg to 4mg/kg three times daily in cats. Cats seem to be more susceptible to the dysphoric effects of tramadol, and nausea and behavioural changes have also been noted (Papich and Bledsoe, 2007; Pypendop and Ilkiw, 2008).
Tramadol toxicity manifesting as serotonin syndrome has also been reported in a cat (Indrawirawan and McAlees, 2014). Tramadol is available as a liquid formulation for cats and this is unpalatable, often being difficult to administer and resulting in hypersalivation. A report looking at the use of tramadol with meloxicam also indicated the risk of gastrointestinal adverse effects may be higher with concomitant use of the two drugs than with either drug alone (Monterio et al, 2016).
When it comes to multimodal analgesia, some clinicians advocate the use of opioids (oral butorphanol, sublingual buprenorphine, oral liquid morphine and transdermal fentanyl patches), but several limitations are associated with use of these (Scherk, 2010) that must be carefully considered and use must also be in accordance with area-dependent prescribing legislation.
A new class of drugs has been identified – the piprant class – that features selective compounds that block specific prostaglandin receptors without interfering with prostanoid production. Grapiprant is a piprant drug that specifically blocks the prostaglandin E2 receptor 4, which research shows to be involved in the mediation of inflammatory pain – particularly the pain and inflammation associated with DJD.
A study investigating long-term safety of grapiprant administration in cats (Rausch-Derra and Rhodes, 2016) showed the medication was well tolerated, with no adverse effects detected. Additional studies evaluating efficacy of grapiprant for treatment of cats with DJD-associated pain are ongoing, but this may represent an additional option for medical treatment of DJD in cats in future and, due to this product’s selective nature, fewer side effects may be anticipated to be encountered with long-term use than with conventional NSAIDs.
Neutralising antibodies against nerve growth factor (NGF) are analgesic in dogs suffering from DJD-associated pain and humans with chronic pain conditions also.
A study evaluated the efficacy of a fully felinised anti-NGF antibody for the treatment of DJD-associated pain in cats and reported a single treatment was associated with a six-week duration positive analgesic effect (Gruen et al, 2016). While not available, this may represent a useful addition to the armoury for feline patients suffering from DJD in the future.

Most cats with DJD-associated pain can be managed using a combination of non-surgical therapies; however, for those where a satisfactory response is not achieved, surgical management should be considered. Surgical treatment options for cats (Figure 4) include joint replacement, arthrodesis, excision arthroplasty, removal of intra-articular fractures via arthrotomy or arthroscopy or decompressive spinal surgery.
The mainstay of surgical management of DJD in the veterinary field is joint replacement. Commercial joint replacements are readily available for the feline hip, while customised joint replacements have also been performed for other joints, including the feline stifle.
Due to the small numbers of joint replacements that have been performed, medium-term results for moderate numbers of cases are only available for the hip, but these results appear to be positive in the majority of cases (Liska et al, 2009; Fitzpatrick et al, 2012).
It should be remembered, similarly to in dogs, in a high percentage of cases, DJD will be affecting multiple joints. Even following a successful joint replacement, ongoing medical management may be required to control discomfort associated with other joints.
Excision arthroplasty is reported as a surgical option for end-stage DJD of the hip, digits and shoulder. In the author’s experience, shoulder arthrodesis provides superior results to excision arthroplasty of the shoulder and would be performed preferentially. Arthrodesis may be a suitable option in cases where joint replacement is not appropriate or possible. While arthrodesis relieves the pain associated with end-stage DJD, it also obliterates motion at the joint and is, therefore, better suited to low motion joints, such as the carpus and tarsus.
Carpal and tarsal arthrodesis have been performed in the cat as appropriate salvage options for end-stage DJD (DeCamp et al, 1993; Matthews et al, 1995; Calvo et al, 2009; Fitzpatrick et al, 2013).
Shoulder arthrodesis is well tolerated, but technically challenging. Arthrodesis of the stifle and elbow results in profound gait abnormalities, and careful case selection and client communication to manage expectations are critical.