6 Mar 2017
Fernanda Camacho discusses the case of Ross, an 11-year-old male entire German short-haired pointer, who presented for further investigation of a second degree atrioventricular block (AVB).

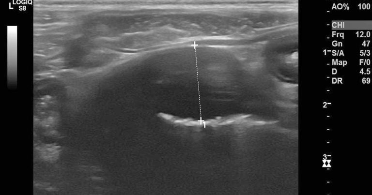
Figure 3. Ultrasound image showing the intestinal mass lesion.
Your first emergency of the afternoon is Ross, an 11-year-old male entire German short-haired pointer, presented for further investigation of a second degree atrioventricular block (AVB).
On physical examination he was quiet and had pale mucous membranes and cold extremities. A grade 3/4 left-sided apical systolic murmur was detected, in addition to mild bradycardia (50bpm). An ECG revealed a high-grade second degree AVB, and the vet opted to start him on terbutaline and pimobendan, and refer Ross for further investigations.
On clinical examination, he was quiet, but alert, and had pale mucous membranes and cold extremities. Cardiac auscultation revealed a grade 3/4 left-apical systolic murmur, his heart rate was 132bpm with good quality synchronous pulses; 28 of respiratory rate per minute, with normal pulmonary auscultation. The abdomen was tense on palpation. The rest of the clinical examination was unremarkable. Due to cardiac history you perform an ECG and echocardiography.
How would you interpret the ECG (Figure 1) and investigate Ross’ case further?

The image shows runs of accelerated idioventricular rhythm (AIVR). This is an ectopic ventricular rhythm with four or more ventricular premature complexes (VPCs). The rate of the AIVR is usually faster than the intrinsic ventricular escape rhythm (>60bpm), but slower than a ventricular tachycardia (<180bpm); frequently the rate of the AIVR is similar to the sinus rhythm.
The QRS complexes are usually wide (>70ms) and bizarre due to their ventricular origin.
P waves can be present as the atrial depolarisation occurs, but are often masked by superimposition of the QRS complexes. The visible P waves are normal in morphology and not related with the ectopic QRS complexes. This is usually a benign and well-tolerated rhythm that does not require anti-arrhythmic treatment, as long as the patient is haemodynamically stable. In this case, the AIVR is spontaneously terminated, returning to sinus rhythm (Figure 2).
The echocardiography showed pre-clinical myxomatous degenerative valvular disease, but no other abnormalities or structural changes that could be associated with the AVB were reported by the referring vet.
The ECG revealed a sinus rhythm with occasional short runs of AIVR. Considering these findings, extracardiac causes for the arrhythmia were investigated.
Haematology revealed mild neutrophilia and mild to moderate anaemia. Biochemistry was unremarkable and systolic arterial blood pressure was 120mmHg.
Thoracic radiographs showed a bronchointerstitial lung pattern, likely age-related, but no evidence of metastases.
Ross had surgery to excise the intestinal mass and had an uneventful recovery. Histopathology revealed alimentary lymphoma.
AIVR can be associated with structural cardiac diseases (myocardial infarct, dilated cardiomyopathy or myocarditis), but it is also commonly associated with extracardiac conditions. Among these, pain, hypoxia, anaemia and abdominal disease (splenic, hepatic or intestinal mass; gastric dilation and/or volvulus) should be considered.
In this case, the AVB reported by the referring vet was, most likely, caused by an increased vagal tone due to the intestinal mass.
The increased vagal tone results in a reduction of the sinoatrial node discharge, resulting in a slowing of the heart rate, and slowing of the atrioventricular node conduction. These changes will affect the ECG and blood pressure. Normal heart rate at the time of admission may have been associated with the use of positive chronotropic drugs.