7 Mar 2024
Vets perform intricate surgery to remove pellets found in thorax and left antebrachium of Bosnian rescue dog during routine dental assessment.

“This was a big surprise,” said clinical director Rory Colville.
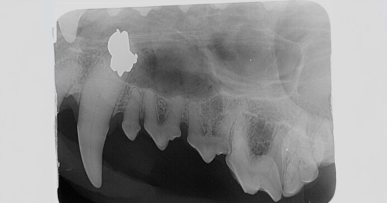
A vet team found an airgun pellet in the nasal passage of a dog rehomed from Bosnia when it was radiographed as part of a dental assessment.
X-rays picked up pellets in the thorax and left antebrachium, and a healed fracture in the left ulna dates the shooting to the dog’s time in Bosnia.
Rory Colville, clinical director at Bruceview Veterinary Clinic, said: “We are big advocates of full mouth dental radiographs during routine dentistry, but this was a big surprise.
“The patient was booked for routine dentistry, which at our clinic is called a comprehensive oral assessment, including full mouth radiographs. There was in fact need to extract teeth, due to periodontitis and tooth resorption, but the story of interest was the accidental discovery of the airgun pellet in the nasal cavity.
“Referral was discussed, but we successfully retrieved the foreign body by use of our longest otoscope speculum and crocodile forceps.
“It wasn’t straightforward as it took around 30 mins of patient and gentle searching to visualise it. The owner is delighted and reported to me that Luna is (with hindsight) a far happier wee dog.”