26 Nov 2018
Francesco Cian looks at the case of an adult flat-coated retriever in his latest Cytology Corner column for Veterinary Times.

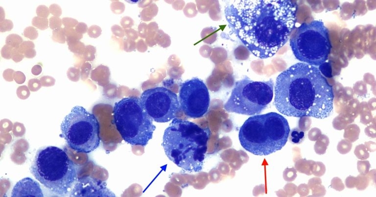
Figure 1. Microscopic image (Wright-Giemsa 50× of an aspirate from a solid mass on the thoracic limb (not involving the joint) of an adult flat-coated retriever.

This microscopic image (Wright-Giemsa 50×; Figure 1) is of an aspirate from a solid mass on the thoracic limb (not involving the joint) of an adult flat-coated retriever.
Thoracic radiographs also identified multifocal coalescent lesions in the region of the right middle lung lobes (Figure 2).
What is your diagnosis?
The aspirate harvested large numbers of well-preserved, discrete, large mononuclear cells on a clear background, with moderate numbers of red blood cells.
These cells have moderate amounts of basophilic cytoplasm with defined borders, and occasionally contain variable numbers of intracytoplasmic clear vacuoles (green arrow).
Nuclei are mostly round, occasionally indented, large in size and paracentral to eccentric, with granular, often coarse chromatin and visible, round nucleoli.
Anisocytosis (cell size variation) and anisokaryosis (nuclear size variation) are moderate, occasionally marked. Binucleated cells (red arrow) and atypical mitotic figures (blue arrow) are seen.
Compatible with histiocytic sarcoma.
Histiocytic sarcoma is a malignant neoplasm that arises from interstitial dendritic cells, which are distributed in almost any tissue – including the dermis – and considered the most potent antigen-presenting cells for the induction of immune responses in T lymphocytes.
Histiocytic sarcoma may be localised when it originates at a single tissue site or in a single organ. Once the lesion spreads beyond the local regional lymph node and involves distant sites, the term disseminated histiocytic sarcoma is preferred; this was previously called malignant histiocytosis.
It commonly presents as a fast-growing, typically destructive lesion that can vary in appearance and often contains foci of necrosis.
The cytological features of this neoplasm are often characteristic and diagnosis can be tried on cytology. In certain cases, histopathology and immunohistochemistry (for example, ionised calcium-binding adaptor molecule 1) may be necessary for a definitive diagnosis, as other forms of sarcoma may appear similar.
Clinical signs are vague, and largely depend on the organs and/or sites involved. The clinical course of disseminated histiocytic sarcoma, if left untreated, is rapid and fatal, whereas the localised form may be more slowly progressive.
In this case, three weeks after the initial diagnosis, the dog developed severe respiratory clinical signs and the limb mass increased in size. The owners refused further treatment and the dog was euthanised. Postmortem examination confirmed the diagnosis of disseminated histiocytic sarcoma.