18 Jun 2018
Francesco Cian presents his latest Cytology Corner, this time on a case involving a slowly growing mass on a mixed breed, male dog's tail.

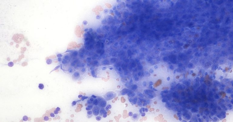
20× image from a mass on the tail of an adult, mixed breed, male dog.
These microscopic images are from a slowly growing mass on the tail of an adult, mixed breed, male dog (Wright-Giemsa, 20× and 100×). What is your diagnosis?
The submitted smear is highly cellular, with moderate preservation. A lightly basophilic background with moderate numbers of red blood cells is present, and frequent, dense clusters of cohesive, roundish to polygonal epithelial cells are seen throughout (red arrows).
Nuclei are round and centrally to paracentrally located, with granular chromatin and often a single, round nucleolus. The cytoplasm is moderate to abundant in amounts, granular and lightly basophilic.
Anisocytosis (cell size variation) and anisokaryosis (nuclear size variation) are mild. Very few small, cuboidal cells with an increased nucleus:cytoplasm ratio are also seen. These (black arrow) are likely basal reserve cells. Rare blood derived neutrophils are also noted.
These findings are consistent with a hepatoid (or perianal) gland neoplasm.
The cytological features, together with the history of a distinct mass and its location, are considered typical for a hepatoid gland neoplasm – likely adenoma.
Hepatoid gland neoplasms are common tumours encountered in dogs and arise from the hepatoid glands (circumanal glands and perianal glands).
They are most commonly located in the perianal region – hence the name – however, they can also be found on the tail, parapreputial area, ventrum, posterior aspect of hindlimbs, and on the midline of the back and thorax.
These neoplasms mainly occur in adult dogs, with a peak incidence between 8 and 13 years of age.
Hepatoid gland adenoma and well-differentiated carcinoma cannot be differentiated on the sole basis of cytology, as they may appear similar; however, adenoma is more common and mostly associated with intact male dogs (androgen dependency). Perianal gland adenoma is a benign tumour that responds well to surgical excision, coupled with castration, and prognosis is good to excellent.
When the basal reserve component prevails, the term epithelioma is preferred. Historically, the World Health Organization classifies perianal epithelioma as a low-grade carcinoma, although this tumour often behaves in a benign fashion.
The malignant counterpart of this tumour (carcinoma) is infrequently observed and has a more aggressive clinical behaviour.